Tooth Decay and Gum Disease
Benefits of Cinnamon

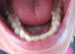
Tooth Decay and Gum Disease
Again the antibacterial properties of Cinnamon play a crucial role in getting rid of harmful bacteria without damaging your teeth or gums. Its one of the reasons that Cinnamon Oil is often used in chewing gums, mouthwashes, toothpaste and breath mints.
Mouth Freshener
reduces LDL cholesterol levels
AntiMicrobial Activity
Hair growth treatment
LONGEVITY
Beats heart disease and atherosclerosis
UPSET STOMACH and gas
Etymology
How to Enjoy
Cinnamons Scent Boosts Brain Function
Ecoli Fighter or Salmonella
Bladder Infection More ...
Test your English Language
Tips to succeed in online Learning
Benefits of Figs
Precaution while using Contact Lenses
Largest Deserts of the World
Weird Fruit
New Hairstyles For Girls
Amazing Facts About Your Heart
Bollywood Hits
Boss Day




