Grapefruit For Gum Problems
Benefits of Grapefruits

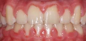
Grapefruit For Gum Problems
Eating two grapefruits a day help to reduce gum bleeding. Grapefruits also increase plasma vitamin C levels and help to manage periodontal disease. Grapefruits increase the bodys metabolic rate, lower insulin levels and give you a feeling of fullness and normality. It assists the human body in fighting various conditions like fatigue, fever, malaria, diabetes, constipation, indigestion, urinary problems, excess acidity and many more.
Grapefruit Helps in Losing Weight
Diabetes
Rich in the Nutritional Powerhouse Vitamin C
Fever
Grapefruit seed extract
Digestive disorder
Grapefruit As Liver Cleanser
Carotenoids
Grapefruit For Skin care
Drug interactions
Good Source of Potassium
Malaria More ...
Test your English Language
Healthy Nose
Guglielmo Marconi
Christmas Poems
Weird Laws Around the World
Myth about Adoption
Benefits of Green chillis
Celebration of Ganesh Chaturthi




